Морфологические проявления лечебного патоморфоза глаукоматозной оптической нейропатии при экспериментальной глаукоме - Статьи - Каталог офтальмологических ресурсов - ophthalmology.ru

ophthalmology.ru
Русский офтальмологический каталог
Организации | Специалисты | Статьи | Форум | Печать | Новости | Мировые ресурсы | Для пациента | Магазин | Сервис
Все статьи
Атлас new!
Как подать статью? Как подать статью?

Офтальмологический магазин
 
Офтальмоскопы и оборудование
книги по офтальмологии
Офтальмологические программы


Имя:
Пароль: 
запомнить
Забыли пароль?
Зарегистрироваться
Статьи на ophthalmology.ru
Смотрите также  
Журнал Глаукома 2003, №4

Морфологические проявления лечебного патоморфоза глаукоматозной оптической нейропатии при экспериментальной глаукоме

Глаукома 4'2003

И.А. Самусенко, В.Н. Алексеев1, В.Н. Абузайед1
Кафедра патологической анатомии, кафедра глазных болезней1 Санкт-Петербургской государственной медицинской академии им. И.И. Мечникова

Многочисленные исследования, проведенные в области изучения этиопатогенеза первичной открытоугольной глаукомы (ПОУГ), ее ранней диагностики, лечения, профилактики, все еще оставляют надежду на то, что это заболевание в скором будущем не будет являться одним из основных в структуре причин слепоты населения во всех странах мира.

Такая ситуация ставит перед клиницистами вопросы, ответить на которые могут только экспериментальные исследования. Так, в настоящее время одним из них является вопрос о последовательности патологических изменений, развивающихся в глазу при ПОУГ. Иными словами, является ли формирующаяся трабекулопатия и связанные с ней нарушения гидродинамики первичным пусковым механизмом, инициирующим каскад сосудистых и метаболических нарушений, которые впоследствии формируют глаукоматозную нейроретинопатию [7], или эти изменения одновременно формируют изменения в переднем и заднем отрезках глазного яблока. Решение этого вопроса имеет сугубо практическое значение, так как определяет сроки начала нейропротекторной терапии - сразу после установления диагноза ПОУГ либо только при прогрессировании экскавации и выявлении начальных дефектов центрального поля зрения.

Цель исследования - клинико-морфологическое изучение изменений при адреналин-индуцированной глаукоме (АИГ) и комплексная оценка лечебного воздействия на задний отрезок глаза (сетчатка и зрительный нерв) препарата из группы природных антиоксидантов - эрисода (супероксиддисмутазы из эритроцитов человека) и -адреноблокаторов - бетоптика С в период ранних этапов развития глаукомы (3 мес. от начала ее индукции).

Материал и методы

АИГ воспроизведена на кроликах породы "Серая Шиншилла" путем внутривенного введения 0,1% раствора адреналина гидрохлорида по схеме, предложенной Липовецкой Е.М. [3]. Сформировано 4 группы животных:

группа № 1 - интактные кролики; группа № 2 - кролики с экспериментальной АИГ; группа № 3 - кролики, совместно с адреналином получавшие препарат эрисод первые 10 дней каждого месяца по 0,5 мл субконъюнктивально в оба глаза в течение 3 мес.; группа № 4 - кролики, совместно с адреналином получавшие препарат эрисод первые 10 дней каждого месяца по 0,5 мл субконъюнктивально в оба глаза и препарат бетоптик С по 1 капле 2 раза в день в оба глаза ежедневно в течение 3 мес.

Кроликам проводили измерение тонометрических и тонографических показателей, для чего применяли тонометр Маклакова массой 7,5 г и тонограф ТНЦ-100. После окончания клинической фазы кролики были выведены из эксперимента воздушной эмболией. Энуклеированные глаза фиксировали в 10% р-ре нейтрального формалина либо в жидкости Буэна в течение 24-48 ч, далее проходили стандартную методику обработки и изготовления гистологических препаратов с окрашиванием срезов гематоксилином и эозином, пикрофуксином по Ван Гизону, альциановым синим при рН 1,0; проводили ШИК-реакцию, окрашивание по методу Шпильмейера.

Для электронно-микроскопического исследования кусочки сетчатой оболочки и зрительного нерва помещали в 2,5% р-р глутарового альдегида на 0,1 М фосфатном буфере (рН 7,4) с последующей фиксацией в 1% р-ре четырехокиси осмия по прописи Колфилда. Обезвоживание проводили в спиртах нарастающей концентрации и эфире, материал заливали эпоном-812. Кусочки контрастировали насыщенным спиртовым р-ром уранилацетата и на срезах цитратом свинца. Ультратонкие срезы изготавливали на ультратоме LKB-3, изучали в электронном микроскопе JEM-100 S.

Гистологическое и гистохимическое исследование проводили при помощи микроскопа МИКМЕД-1, для изучения морфометрических показателей использовались окуляр- и объект-микрометр "Reichert".

Математическую обработку полученных клинико-морфологических данных проводили методами вариационной статистики с использованием программы "Microsoft Excel". Определяли среднее значение (Х), стандартное отклонение (сигма), дисперсию (сигма в вадрате), ошибку среднего (m), достоверность различий между группами сравнения с вычислением критерия Стьюдента (t) и уровня значимости (альфа), доверительный интервал (р).

Результаты и обсуждение

Клинические исследования. Тонометрический контроль внутриглазного давления (ВГД) выявил, что при введении адреналина в группе кроликов № 2 с АИГ уже в 1-й месяц эксперимента наблюдалось статистически достоверное нарастание ВГД на обоих глазах. К концу 3-месячного введения препарата его уровень на правом глазу увеличился с 14,3±0,26 до 24,5±0,17 мм рт.ст. (р<0,001), что составило нарастание офтальмогипертезии на 72%; на левом глазу с 13,6±0,27 до 23,5±0,22 мм рт.ст. (р<0,001) повышение на 73%.

В 3 и 4 группах, в которых животным одновременно с адреналином вводились с лечебной целью препараты, подъем ВГД был не столь высоким.

В группе № 3, получавшей препарат эрисод, через 3 мес. ВГД увеличилось на правом глазу - с 14,3±0,26 до 21,4±0,17 мм рт.ст. (повышение от исходного уровня на 50%), на левом глазу - с 13,6±0,27 до 19,7±0,15 мм рт.ст. (повышение на 45%).

В группе № 4, получавшей эрисод и бетоптик С, через 3 мес. ВГД оказалось повышенным от исходного уровня на правом глазу до 21,4±0,17 мм рт.ст. (повышение на 50%), на левом - 21,6±0,22 мм рт.ст. (повышение на 59%), что не превышало уровень ВГД в группе АИГ.

Таким образом, уровень симптоматической офтальмогипертензии в группах кроликов, получавших совместно с адреналином различные препараты, по сравнению с группой АИГ был в среднем ниже на 18-25%. При этом, на обоих глазах в группе эрисода оно было ниже, чем при экспериментальной глаукоме на 25%, в группе эрисода и бетоптика на 18%. Приведенные данные позволяют констатировать, что на снижение уровня симптоматической гипертензии большее влияние имел эрисод, меньшее, как это не парадоксально, эрисод совместно с бетоптиком С.

Наряду с контролем уровня ВГД в задачи исследования входило экспериментальное изучение гидродинамических (тонографических) показателей в глазу.

В группе кроликов с АИГ (№ 2) тонографическое исследование выявило достоверное повышение уровня истинного ВГД (Ро) по сравнению с группой интактных кроликов (№ 1) в среднем на 32%: на правом глазу - с 17,87±1,67 до 23,73±1,80 мм рт.ст. (р<0,05), на левом - с 18,17±2,10 до 23,58±0,42 мм рт.ст. (р<0,02). Наблюдалась тенденция к снижению коэффициента легкости оттока (С): с 0,21±0,06 до 0,18±0,03 мм3/мин/мм рт.ст. (р>0,05) на правом глазу и с 0,21±0,03 до 0,17±0,03 мм3/мин/мм рт.ст. на левом глазу (р>0,05). Установлено увеличение минутного объема камерной влаги (F): с 1,72±0,55 до 2,44±0,48 мм3/мин (р>0,05) на правом глазу и с 1,81±0,48 до 2,35±0,38 мм3/мин (р>0,05) на левом глазу. Коэффициент Беккера (Ро/С) имел увеличение: с 89,00±19,00 до 153,6±35,80 (р>0,05) на правом глазу и с 97,80±18,80 до 155,40±38,80 (р>0,05) на левом глазу. Такие изменения гидродинамики подтверждали имевшиеся данные о возможности моделирования глаукомы при хроническом введении адреналина, который, возбуждая адренорецепторы, формировал глаукоматозный симптомокомплекс [1, 2].

У животных из группы № 3, которым вводили эрисод, выявлено, что гипертензия была менее выражена (возросла в среднем на 15%), наблюдалось снижение уровня истинного ВГД (Ро) по сравнению с группой АИГ: на правом глазу - с 17,87±1,67 до 21,03±1,51 мм рт.ст. (р>0,05), на левом - с 18,17±2,10 до 20,38±1,51 мм рт.ст. (р>0,05). Имелась тенденция к нарушению легкости оттока камерной влаги (С) с ее снижением с 0,21±0,06 до 0,19±0,03 мм3/мин/мм рт.ст. (р>0,05) на правом глазу и с 0,21±0,03 до 0,21±0,06 мм3/мин/мм рт.ст. (р>0,05) на левом глазу. Наблюдалось более выраженное увеличение минутного объема продукции камерной влаги (F): с 1,72±0,55 до 2,06±0,73 мм3/мин (р>0,05) на правом глазу и с 1,81±0,48 до 2,05±0,38 мм3/мин (р>0,05) на левом глазу. Коэффициент Беккера (Ро/С) также увеличивался: с 89,00±19,00 до 141,2±33,90 (р>0,05) на правом глазу и с 97,80±18,80 до 128,20±48,90 (р>0,05) на левом глазу.

В группе кроликов № 4, получавшей эрисод и бетоптик С, истинное ВГД было не столь высоким по сравнению с группой АИГ (гипертензия возросла от исходного уровня в среднем на 12 %): на правом глазу - с 17,87±1,67 до 19,20±0,46мм рт.ст. (р<0,05), на левом - с 18,17±2,10 до 21,10±1,30 мм рт.ст. (р>0,05). Имелась тенденция к снижению легкости оттока камерной влаги (С) с 0,21±0,06 до 0,18±0,05 мм3/мин/мм рт.ст. (р>0,05) на правом глазу и с 0,21±0,03 до 0,20±0,02 мм3/мин/мм рт.ст. (р>0,05) на левом глазу. Был несколько увеличен минутный объем продукции камерной влаги (F): с 1,72±0,55 до 1,72±0,59 мм3/мин (р>0,05) на правом глазу и с 1,81±0,48 до 2,01±0,33 мм3/мин (р>0,05) на левом глазу. Коэффициент Беккера (Ро/С) увеличился: с 89,00±19,00 до 135,2±31,41 (р>0,05) на правом глазу и с 97,80±18,80 до 109,00±10,23 (р>0,05) на левом глазу.

Таким образом, в группах кроликов, получавших препараты с лечебной целью, имелось снижение уровня истинного ВГД. Но вместе с тем, имелась тенденция к нарушению легкости оттока камерной влаги (С) и увеличению минутного объема ее продукции (F), что неблагоприятно сказывалось на циркуляции водянистой влаги в глазу.

Полученные данные клинического исследования свидетельствуют о том, что гидро- и гемодинамика глаза при экспериментальной АИГ находится под контролем адренорецепции. В случае применения препаратов эрисод, эрисод с бетоптиком С, складывавшийся глаукоматозный симптомокомплекс претерпевал значительные регуляторные сдвиги, которые характеризовались меньшей степенью нарастания офтальмогипертензии, проявлялись менее выраженным нарушением циркуляции водянистой влаги в глазу.

Морфологического исследования. В группах кроликов, подвергшихся лечебному введению препаратов, изучалось их нейропротекторное действие. Такой эффект обнаружен у препарата бетоптик С, который блокирует кальциевые каналы в ганглиозных клетках и тем самым ингибирует апоптоз [6]. Как известно, избыточное поступление кальция в клетку при ишемии является индуктором апоптоза [6].

В сетчатке кролика в ганглиозном слое известны 3 типа клеток, которые разделены соответственно диаметру ядра: мелкие клетки - диаметр ядра 3 мкм, средние клетки - диаметр ядра 6 мкм, крупные клетки с диаметром ядра более 9 мкм [5]. На эмбрионах и плодах кроликов и собак установлено, что крупные клетки в процессе онтогенеза являлись наиболее старшими, после них развивались средние, а затем мелкие [5]. В опытах с ретроградным повреждением (перерезкой зрительного нерва) ганглиозных клеток выявлена обратная закономерность гибели: сначала гибли мелкие клетки, затем средние и только потом крупные.

Нами была исследована назальная часть сетчатки кролика от цилиарного тела до решетчатой пластинки в связи с тем, что она меньше подвергалась артефициальному повреждению при изготовлении гистологических препаратов.

У группы интактных животных (№ 1) проведенные собственные исследования позволили выявить, что в назальной половине сетчатки глаза количество ганглиозных клеток на 20-30% больше, чем в височной половине. В этой группе в обеих половинах сетчатки в слое фоторецепторов и биполяров по направлению к углу задней камеры глаза наблюдалось уменьшение толщины слоев и количества клеток. Обнаружено, что количество крупных клеток в группе интактных животных больше при приближении к цилиарному телу, а мелких - к диску зрительного нерва. В группе интактных животных (№ 1) в ганглиозном слое располагались клетки с ядрами различных размеров. Цитоплазма клеток имела слабо эозинофильную окраску, ядра хорошо прокрашивались гематоксилином в синий цвет (рис. 1).

Интактные кролики. Обычное содержание клеток в сетчатке: 1 - ганглиозный слой, 2 - слой биполярных клеток. Окраска гематоксилином и эозином. Ув.  200

Рис. 1. Интактные кролики. Обычное содержание клеток в сетчатке: 1 - ганглиозный слой, 2 - слой биполярных клеток. Окраска гематоксилином и эозином. Ув. 200

Количество их распределялось следующим образом: всего клеток - 509,67±12,35, из них: мелких - 184,00±5,00; средних - 229,17±12,41; крупных - 96,50±3,58. В норме соотношение: мелкие/средние/ крупные клетки было 36/45/19%. Толщина слоя аксонов ганглиозных клеток при измерении на расстоянии 350 мкм от края решетчатой пластинки, где ход аксонов был еще параллельным сетчатке, равнялась 129,15±1,86 мкм. Слой имел равномерное слабо розовое окрашивание, на его поверхности лежали тонкостенные капилляры (рис. 2).

Интактные кролики. Толщина слоя аксонов ганглиозных клеток сетчатки у диска зрительного нерва. Окраска гематоксилином и эозином.  Ув.  200

Рис. 2. Интактные кролики. Толщина слоя аксонов ганглиозных клеток сетчатки у диска зрительного нерва. Окраска гематоксилином и эозином. Ув. 200

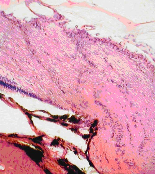
В группе кроликов № 2 с АИГ наблюдалось разрежение клеток в ганглиозном слое: они значительно дальше располагались друг от друга, на некотором протяжении слой выглядел, как безъядерный, цитоплазма клеток не визуализировалась (рис. 3).

Экспериментальная глаукома. Снижение количества нейронов в ганглиозном слое у кроликов за счет мелких и средних клеток. Окраска гематоксилином и эозином. Ув.  200

Рис. 3. Экспериментальная глаукома. Снижение количества нейронов в ганглиозном слое у кроликов за счет мелких и средних клеток. Окраска гематоксилином и эозином. Ув. 200

Общее количество ганглиозных клеток было статистически достоверно снижено (р<0,001) по сравнению с группой интактных кроликов и составило 279,00±5,18. Из них мелкие составили 93,50±2,74; средние - 123,83±1,82; крупные - 61,67±3,91. Обнаружено, что при развитии глаукомы снижение количества ганглиозных клеток сетчатки происходило за счет мелких и средних: процент соотношения мелкие/ средние/крупные составил 33/44/22. Резкая атрофия клеток в ганглиозном слое, от каждой из которых отходил аксон, заметно отразилась на толщине их слоя. Толщина слоя аксонов статистически достоверно (р<0,001) была снижена по сравнению с нормой и составляла 78,85±1,86 мкм (рис. 4).

Экспериментальная глаукома. Выраженная атрофия слоя аксонов ганглиозных клеток сетчатки кроликов у диска зрительного нерва. Окраска гематоксилином и эозином. Ув.  200

Рис. 4. Экспериментальная глаукома. Выраженная атрофия слоя аксонов ганглиозных клеток сетчатки кроликов у диска зрительного нерва. Окраска гематоксилином и эозином. Ув. 200

Хотелось отметить, что при атрофии клеток ганглиозного слоя и их аксонов не страдал слой биполярных клеток и фоторецепторов, в котором изменений не было обнаружено.

В группе кроликов, получавших с лечебной целью эрисод (№ 3), сохранялось высокое статистически достоверное (р<0,001) общее количество неповрежденных клеток ганглиозного слоя сетчатки в сравнении с группой АИГ (рис. 5).

Экспериментальная глаукома, леченная препаратом эрисод. Выраженное нейропротекторное воздействие на сетчатку кролика. Окраска гематоксилином и эозином. Ув.  200

Рис. 5. Экспериментальная глаукома, леченная препаратом эрисод. Выраженное нейропротекторное воздействие на сетчатку кролика. Окраска гематоксилином и эозином. Ув. 200

Оно составляло 418,00±8,50. По сравнению с контрольной группой было высокое содержание мелких - 142,50±4,20 и средних клеток - 203,00±3,77. Количество крупных клеток статистически недостоверно отличалось от группы кроликов с глаукомой и равнялось 72,50±3,49 (р>0,05). Количество клеток увеличивалось за счет мелких и средних, процент соотношения составил 34/49/17%. Толщина слоя аксонов ганглиозных клеток была статистически достоверно выше (р<0,001), чем в группе АИГ и составила 110,67±1,75 мкм (рис. 6).

Экспериментальная глаукома, леченная препаратом  эрисод. Умеренно выраженная атрофия слоя аксонов ганглиозных клеток сетчатки вблизи диска зрительного нерва кроликов. Окраска гематоксилином и эозином. Ув.  180

Рис. 6. Экспериментальная глаукома, леченная препаратом эрисод. Умеренно выраженная атрофия слоя аксонов ганглиозных клеток сетчатки вблизи диска зрительного нерва кроликов. Окраска гематоксилином и эозином. Ув. 180

В группе кроликов, получавших эрисод и бетоптик С (№ 4), имелось статистически достоверное более выраженное нейропротекторное действие препаратов (рис. 7): общее количество клеток ганглиозного слоя сетчатки составило 426,83±5,96; из них мелких клеток 150,17±3,42, средних - 205,83±3,73 (р<0,001);

Экспериментальная глаукома, леченная препаратами эрисод и бетоптик С. Выраженное нейропротекторное действие препаратов в отношении мелких и средних клеток сетчатки кролика. Окраска гематоксилином и эозином. Ув.  200

Рис. 7. Экспериментальная глаукома, леченная препаратами эрисод и бетоптик С. Выраженное нейропротекторное действие препаратов в отношении мелких и средних клеток сетчатки кролика. Окраска гематоксилином и эозином. Ув. 200

количество крупных клеток статистически не отличалось (р>0,05) от группы АИГ - 70,83±1,20. Количество клеток в процентном отношении мелкие/средние/крупные выглядело как 35/48/17% и было увеличено за счет мелких и средних клеток. Толщина слоя аксонов ганглиозных клеток сетчатки статистически достоверно выше (р<0,001), чем в группе АИГ и составила 116,20±3,03 мкм (рис. 8).

Экспериментальная глаукома, леченная препаратами эрисод и бетоптик С. Незначительное проявление атрофии аксонов ганглиозных клеток сетчатки кроликов вблизи диска зрительного нерва. Окраска гематоксилином и эозином. Ув.  200

Рис. 8. Экспериментальная глаукома, леченная препаратами эрисод и бетоптик С. Незначительное проявление атрофии аксонов ганглиозных клеток сетчатки кроликов вблизи диска зрительного нерва. Окраска гематоксилином и эозином. Ув. 200

Исходя из обнаруженной морфологической картины, выявлено, что при формировании глаукомы в первую очередь подвергались гибели и атрофии мелкие и средние ганглиозные клетки сетчатой оболочки. Количество крупных клеток статистически достоверно снижалось, но процентное содержание их по отношению к общему числу клеток увеличивалось. Обратная ситуация складывалась в группах, где одновременно с адреналином животным с лечебной целью на ранних этапах формирования глаукомы вводили препараты: общее количество клеток, количество мелких и средних ганглиозных клеток статистически достоверно было более высоким, чем при глаукоме. Количество крупных клеток статистически не отличалось от группы АИГ, но процентное содержание их по отношению к общему количеству обратно пропорционально снижалось, в то время как процентное содержание мелких и средних повышалось. Эти данные свидетельствовали о нейропротекторном эффекте препаратов эрисод и бетоптик С, которые в первую очередь сберегали мелкие и средние ганглиозные клетки.

Гибель ганглиозных клеток сопровождалась статистически достоверным уменьшением толщины слоя аксонов при глаукоме. В группах, получавших препараты эрисод, эрисод с бетоптиком С, толщина слоя аксонов была статистически достоверно выше по сравнению с контрольной группой. Из-за снижения толщины слоя аксонов развивалась экскавация диска зрительного нерва. В группе контроля (АИГ) она была выраженной, в группе эрисод и эрисод с бетоптиком С - слабо и умеренно выраженной.

В группе интактных кроликов (№ 1) в области решетчатой пластинки, в хориоидальной ее части при окраске по методу Шпильмейера выявлялись немиелинизированные осевые цилиндры аксонов, которые были тонкими, нитевидных размеров, равномерной толщины, складывались в пучки. Между ними единичные астроциты. В склеральной части наблюдалась миелинизация осевых цилиндров. Ретроламинарно осевые цилиндры с миелиновыми оболочками располагались упорядоченно, плотно прилежали друг к другу, с четкими насечками Лантермана. При окраске альциановым синим выявлялось слабое окрашивание миелиновых оболочек. Астроциты почти не определялись, вокруг тонкостенных спавшихся капилляров имелись глиальные элементы.

Электронно-микроскопическим исследованием установлено, что в норме аксоны зрительного нерва плотно прилежали друг к другу, каждый был изолирован слоистыми миелиновыми оболочками, аксоплазма имела округлые митохондрии, равномерно распределенные нейрофиламенты и нейротрубочки. Содержание коллагеновых волокон вокруг аксонов незначительное и нерегулярное.

В группе кроликов № 2 с экспериментальной глаукомой атрофия аксонов и экскавация диска зрительного нерва сочеталась с пролиферацией астроцитов. В преламинарной (хориоидальной) части зрительного нерва при окраске по методу Шпильмейера наблюдалось неравномерное утолщение осевых цилиндров, связанное с натеками нейроплазмы, их очаговая вакуолизация. Фрагментации волокон до выхода аксонов из глаза не наблюдалось. В ретроламинарной области, в зоне миелинизированных волокон, изменения осевых цилиндров в виде натеков нейроплазмы, вакуолизации были более выражены. Выявлена фрагментация отдельных осевых цилиндров, миелиновые оболочки с проявлениями набухания местами подвергались растворению и деструкции с образованием ситообразных пространств с тканевым детритом, что являлось признаками кавернозной (лакунарной) дистрофии зрительного нерва, описанной при глаукоме [4]. При окраске по методу Ван Гизон наблюдалось разрастание соединительной ткани за счет пролиферации глии вокруг переполненных кровью капилляров с периваскулярным склерозом. При окраске на гликозаминогликаны альциановым синим в ретроламинарной области реакция была отрицательной.

Электронно-микроскопическим исследованием в группе № 2 с АИГ установлено очаговое или тотальное расслоение миелиновых оболочек, формирование вакуолей, которые сдавливали и деформировали набухшие митохондрии, в некоторых митохондриях происходило образование кистозных полостей. Наблюдалось разрежение нейротрубочек и нейрофибрилл, очаговое их разрушение, замещение вакуолями с хлопьевидным содержимым повышенной электронной плотности.

В обеих группах животных с лечебным применением препаратов морфологические процессы в решетчатой пластинке и зрительном нерве были однотипными. Атрофия аксонов в головке зрительного нерва сочеталась с разрастанием глии преимущественно вокруг капилляров, в которых имелся склероз стенок. Электронно-микроскопическим исследованием установлено, что осевые цилиндры характеризовались набуханием и вакуолизацией, очаговым перераспределением нейротрубочек и нейрофиламентов аксоплазмы, патология миелина отсутствовала.

Таким образом, данные исследований в группах кроликов, получавших лечение препаратами, характеризовали одинаковую степень их влияния и протекторного действия на состояние и степень повреждения аксонов зрительного нерва и коллагенового каркаса решетчатой пластинки. Эффективность лечебного воздействия различных препаратов на нервный аппарат глаза на ранних этапах формирования глаукомы становится очевидной при их сравнительной оценке с типичными для экспериментальной АИГ изменениями заднего отрезка глаза.

К сожалению, даже при самой ранней нейропротекции (с первого для индукции экспериментальной глаукомы) препараты не предотвращали процессов апоптотической гибели ганглиозных клеток, атрофии их аксонов и повреждения зрительного нерва. Это еще раз доказывает, что ПОУГ - хроническое длительно текущее, медленно прогрессирующее заболевание, лечение которого, в том числе нейропротекцию, важно начинать как можно раньше. Для достижения этих целей требуется разработка критериев ранней клинической диагностики ПОУГ.

Выводы

Морфометрическая и патогистологическая картина указывала на гибель ганглиозных клеток сетчатки на ранних этапах глаукомы.

Экскавация диска зрительного нерва связана с гибелью ганглиозных клеток, что вызывало снижение толщины слоя атрофирующихся аксонов.

Повреждение аксонов зрительного нерва одновременно связано со склеротическими процессами в области решетчатой пластинки и нарушением капиллярного кровотока в этой зоне.

Препараты эрисод, бетоптик С оказывали нейропротекторное воздействие на сетчатку глаза и зрительный нерв. Полученные данные позволяют рекомендовать их к применению в качестве нейропротекторов на начальных этапах глаукомы.

Литература

  1. Кашинцева Л.Т., Крыжановский Г.Н., Липовецкая Е.М., Копп О.П. Адренергические и кальциевые механизмы развития глаукомного процесса и перспективы патогенетического лечения больных открытоугольной глаукомой // Офтальмол. журн.- 1995. - № 3.- С. 133-137.
  2. Крыжановский Г.Н., Кашинцева Л.Т., Липовецкая Е.М., Копп О.П. Экспериментальное обоснование патогенетически направленной терапии глаукомы // Офтальмол. журн.- 1980.- № 8.- С. 493-497.
  3. Липовецкая Е.М. Развитие экспериментальной глаукомы при длительном внутривенном введении адреналина // Офтальмол. журн.- 1966. - № 3.- С. 221-223.
  4. Пригожина А.Л. Патологическая анатомия и патогенез глаукомы.- М., 1996. - 222 с.
  5. Фельдман Н.Г. Онтогенез и гистопатология сетчатки. Изменения ее нервных элементов в эксперименте.- М.: Издательство Академии Медицинских наук СССР, 1951. - 74 с.
  6. Osborne N., Cazevieille C., Carvalho A. In vivo and in vitro experiments show that betaxolol is a retinal neuroprotective agent // Brain. Res. - 1996.
  7. Van Buskirk E., Cioffi G. Glaucomatous optic neuropathy // Am. J. Ophthalmol. - 1992.- Vol. 113.- P. 447-452.

I. Samusenko, V. Alekseew, V. Abuzayed

Morphological appearance of the therapeutical patomorphosis of the glaucomatous optical neuropathy at the experimental glaucoma

The author used the model of adrenalin-induced glaucoma in rabbits with features identical with open-angle glaucoma in man. He studied in detail the initial retinal and optical nerve changes in glaucoma optic neuropathy as well as established the neuroprotective effect of erisod and betoptic C. The use of the mentioned therapeutics was recommended in initial stages of the disease.


Комментарии пользователей


Русский офтальмологический каталог www.ophthalmology.ru : Уважаемые пользователи! Для того чтобы комментировать эту статью, Вам нужно войти в систему или зарегистрироваться

25 октября 2006 года, 16:31



Чтобы прокомментировать статью, войдите в систему или зарегистрируйтесь!

Зарегистрируйтесь, и Вы сможете добавлять свои статьи на наш сайт!
Баннерообменная сеть
www.rjo.ru

Администрация каталога не несет ответственность за содержание материалов, размещаемых пользователями и ссылок с сайта на другие ресурсы.

liveinternet.ru: показано число хитов за 24 часа, посетителей за 24 часа и за сегодня
Яндекс цитирования
Спонсоры:

Организации и специалисты офтальмологические организации и специалисты Статьи офтальмологические статьи Форум офтальмологический форум Печать литература по офтальмологии Новости новости офтальмологии Мировые ресурсы офтальмологические мировые ресурсы Для пациента окулисты, офтальмологи, зрение пациентов Магазин контактные линзы, книги по офтальмологии Сервис

Русский офтальмологический каталог

© Copyright 2000-2005. All Rights Reserved.
Использование материалов по согласованию
с администрацией каталога
www.rjo.ru
AlPite design